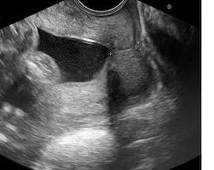
Cervical Length - Risk of Prematurity
Prematurity
Obie Editorial Team

Over the last decades much research has been done on the etiology of premature deliveries, especially the relationship between cervical length and premature births. There is a reverse direct relationship between cervical length and the risk of premature births.
The Positive Predictive Value of Cervical Length Measurements by Transvaginal Ultrasound and the Risk of Delivery <35 weeks
Source: Iams NEJM 334, 1976