Bright Spot Echogenic Focus And Down Syndrome
Ultrasound
Obie Editorial Team

Q: Hi, I’m 18 weeks pregnant with my first child and we just had our first ultrasound. I was just told by my doctor that a "bright spot" was found on the baby's heart. She mentioned that this is often found in babies with down syndrome. Could you tell me what percent of babies found with this "bright spot" at the 18 week u/s is later diagnosed with down syndrome? We have a level II u/s scheduled, and if we are diagnosed with down syndrome, can you tell me the steps I can take to protect my baby throughout the rest of my pregnancy? Thank you.
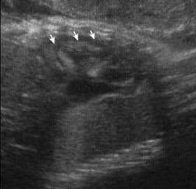
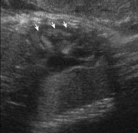
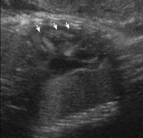
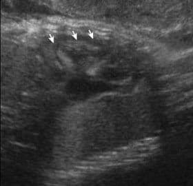
A: You can be comforted in knowing that an echogenic focus or "bright spot" in the fetal heart more often than not has little to no significance on the condition or development of the baby, although it can be upsetting when you are first told about it.
This bright spot is usually first detected during the second-trimester anatomy ultrasound, and many parents are naturally concerned about what it means. The first thing you need to know is that this finding is usually not an indication of abnormal cardiac anatomy and usually is a normal finding.
There is no complete agreement from the experts about this finding and there is conflicting evidence for an increased risk of Down syndrome. The published risks of Down syndrome among fetuses with echogenic cardiac foci have varied from no increased risk up to a four-fold increase in the age-related risk. Several studies suggested a risk of about 1%. That means that 99/100 babies with this finding will not have Down syndrome.
In general, it’s suggested that women with this finding have genetic counseling and that a thorough ultrasound evaluation is done to see whether there are other so-called "soft-markers" on the ultrasound for Down syndrome. Your doctor will look for findings like changes in the stomach or bowel, extremities, or umbilical cord anomalies.