The Gestational Sac In Pregnancy
Ultrasound
Obie Editorial Team

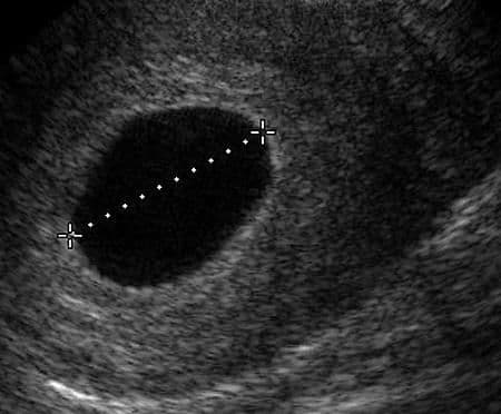
The gestational sac is the structure surrounding the fetus early in pregnancy and its shape early in pregnancy (usually before 8-10 weeks) is important. Ideally, the gestational sac should be round. But other shapes can also be normal, and there is no sure way of predicting what it means.
When it's found to be abnormally shaped, the sac should be monitored to make sure everything is OK. Within 1-2 weeks after the last exam of the gestational sac, you should be able to see the fetal heartbeat, which is the best indication that the fetus is doing fine.
A normal gestational sac growth is about 1 mm per day after the 4th week of gestation. The mathematic formula for estimating the gestational age from measurements of the gestational sac is: Gestational age = 4 weeks plus (mean sac diameter in mm x days). For example, a gestational sac measuring 8 mm would be approximately 5 weeks and 1 day gestational age. (8mm equals 8 days; 4 weeks plus 8 days = 5 weeks and 1 day).
Read More